Banner image placeholder
Banner image

About


The Angara Lab at A.T. Still University explores the complex molecular interactions at the host-pathogen interface. Our research focuses on understanding how obligate intracellular bacteria, such as Coxiella burnetii, the causative agent of Q fever—endocarditis, manipulate host cell processes to survive and replicate. We investigate key mechanisms, including host lipid trafficking and organelle dynamics, that pathogens hijack during infection. By uncovering these pathways, our goal is to develop novel therapeutic strategies for chronic and persistent infections.

Projects


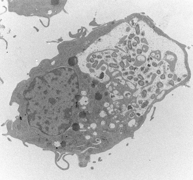
Investigating the role of inter-organelle lipid transfer in Coxiella burnetii pathogenesis


Our current project aims to define how lipid transfer proteins (LTPs) localized at membrane contact sites (MCS) mediating non-vesicular lipid trafficking, contribute to C. burnetii pathogenesis.

Publications


Mechanisms of lipid homeostasis in the Coxiella Containing Vacuole


Rajendra K Angara, Peyton E Van Winkle, Stacey D Gilk

Biochemical Society Transactions, vol. 53, Portland Press Ltd., 2025, pp. 59--68


A novel bacterial effector protein mediates ER-LD membrane contacts to regulate host lipid droplets


Rajendra Kumar Angara, Arif Sadi, Stacey D Gilk

EMBO reports, vol. 25, Nature Publishing Group UK London, 2024, pp. 5331--5351


ER-LD Membrane Contact Sites: A Budding Area in the Pathogen Survival Strategy


Rajendra Kumar Angara, Margaret F Sladek, Stacey D Gilk

Contact, vol. 7, SAGE Publications Sage CA: Los Angeles, CA, 2024, p. 25152564241304196


Selective host autophagy is induced during the intracellular parasite Toxoplasma gondii infection controlling amino acid levels


Matthew D White, Rajendra K Angara, Leticia Torres Dias, Dhananjay D Shinde, Vinai C Thomas, Leonardo Augusto

mSphere, American Society for Microbiology 1752 N St., NW, Washington, DC, 2024, pp. e00369--24


Establishing the intracellular niche of obligate intracellular vacuolar pathogens


Tatiana M Clemente, Rajendra K Angara, Stacey D Gilk

Frontiers in Cellular and Infection Microbiology, vol. 13, Frontiers Media SA, 2023, p. 1206037


Ectopic Expression of Rv0023 Mediates Isoniazid/Ethionamide Tolerance via Altering NADH/NAD+ Levels in Mycobacterium smegmatis


S. Gupta, R. Angara, Suhail Yousuf, C. G. Reddy, A. Ranjan

Frontiers in Microbiology, 2020


View all

Posts


Sep 29, 2022

Conference talk

Rajendra is delivering talk at Midwest Microbial Pathogenesis Conference (MMPC) [September 30 - October 1st 2022]


Jun 25, 2022

Travel Award

Rajendra receive FASEB travel award for attending FASEB  The Lipid Droplet Conference: Biology in Health and Disease [June 26 - 30, 2022]

Contact


Rajendra K. Angara
PhD


Department of Microbiology, and Immunology

A. T. Still University - Kirksville College of Osteopathic Medicine (ATSU-KCOM)

800 W. Jefferson St.
Kirksville, MO 63501



Translate to